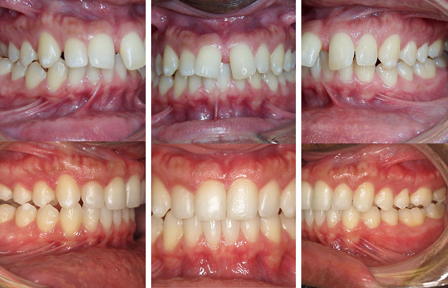
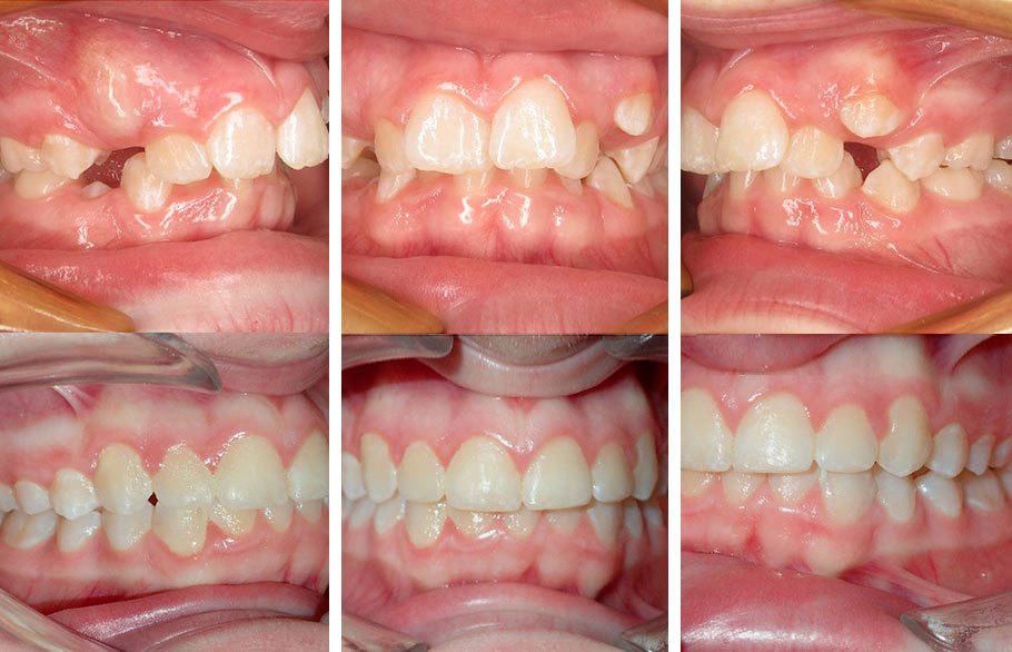
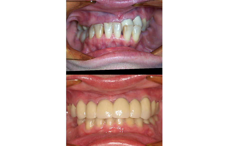
Before and After

Incredible results and inspiring journeys – see some of our patients' before and after photos next time you visit our practice.

slide slide slideslide slide slide slide slide slide slide slide slide slide slide slide slide
 
 
 
back to top
Contact Us!
call email